• We are officially moved over to Discourse.
    Autoflower Discourse"
    You will have to create a new login for the new site!
    This current Xenforo-based forum will be preserved as a read-only archive going forward with efforts to better categorize and tag original and canonical content.
    The URL autoflower.org will soon point to the new Discourse site; so we'll be back to business in a few days!
    Send Son of Hobbes a private message if you have any questions!

PH homework

Health News - Deficiency Symptoms Chart S-Z

A healthy blood pH without cancer has acid + alkaline balance almost equal. Actually a healthy body is slightly alkaline measuring approximately 7.4. This ideal blood 7.4 pH measurement means it is just slightly more alkaline than acid.​
DigestiveTract.jpg
The pH in the human digestive tract varies greatly (see Human Digestive Tract pH Range Chart on the left side). The pH of saliva is usually between 6.5 - 7.5. After we chew and swallow food it then enters the fundic or upper portion of the stomach which has a pH between 4.0 - 6.5. This is where "predigestion" occurs while the lower portion of the stomach is secreting hydrochloric acid (HCI) and pepsin until it reaches a pH between 1.5 - 4.0. After the food mixes with these juices it then enters the duodenum (small intestine) where the pH changes to 7.0 - 8.5. This is where 90% of the absorption of nutrients is taken in by the body while the waste products are passed out through the colon (pH 4.0 - 7.0).
If you have a health problem, most likely you are acidic. Research shows that unless the body's pH level is slightly alkaline, the body cannot heal itself. So, no matter what type of modality you choose to use to take care of your health problem, it won't be as effective until the pH level is up. If your body's pH is not balanced, you cannot effectively assimilate vitamins, minerals and food supplements. Your body pH affects everything.​
Total healing of chronic illness only takes place when and if the blood is restored to a normal, slightly alkaline pH.
An Imbalance In the body’s pH may lead to serious health concerns, including:
Hormone concerns
Cardiovascular weakness
Weight gain/loss
Bladder and kidney concerns.
Immune deficiency
Acceleration of free radical damage.
Structural system weakness, including brittle bones, hip fractures and joint discomfort
Stressed liver function
Low energy
Slow digestion and elimination
Yeast/fungal overgrowth.
Tumor growth​
The body has to have a balanced pH like most living things on earth or it does not function correctly. The alkaline level is very important because research has already proven that disease cannot survive in an alkaline state and yet they thrive in an acidic environment.

The truth is everyone has different nutrient requirements, but we all share one thing in common - we need to have alkaline blood to stay healthy.


An acidic balance will: decrease the body's ability to absorb minerals and other nutrients, decrease the energy production in the cells, decrease it's ability to repair damaged cells, decrease it's ability to detoxify heavy metals, make tumor cells thrive, and make it more susceptible to fatigue and illness.​
phchart.gif
An acidic pH can occur from, an acid forming diet, emotional stress, toxic overload, and/or immune reactions or any process that deprives the cells of oxygen and other nutrients. The body will try to compensate for acidic pH by using alkaline minerals. If the diet does not contain enough minerals to compensate, a build up of acids in the cells will occur.
There are two factors that are ALWAYS present with cancer no matter what else may be present. Those two factors are Acid pH and Lack of Oxygen. Can we manipulate those two factors that always have to be present for cancer to develop and by doing so may help reverse the cancer? If so, we need to learn how to manipulate those two factors.
Cancer needs an acid and low oxygen environment to survive and flourish within. Terminal cancer patients are around 1000 times more acidic than normal healthy people. The vast majority of terminal cancer patients possess a very low body pH. Why?
In the absence of oxygen, glucose undergoes fermentation to lactic acid. This causes the pH of the cell to drop from between 7.3 to 7.2 down to 7 and later to 6.5 in more advanced stages of cancer and in metastases the pH drops to 6.0 and even 5.7 or lower. Our bodies simply can not fight disease if our body pH is not properly balanced.​
o2_molecule.gif
Shown here are four representations chemists use for molecular oxygen. In colored molecular models, oxygen is traditionally shown in red.
The normal human cell has a lot of molecular oxygen and a slightly alkaline pH. The cancer cell has an acid pH and lack of oxygen. Cancer cells cannot survive in an oxygen rich environment. At a pH slightly above 7.4 cancer cells become dormant and at pH 8.5 cancer cells will die while healthy cells will live. Again, the higher the pH reading, the more alkaline and oxygen rich the fluid is. Cancer and all diseases hate oxygen / pH balance. The proper alkalinity pH of the blood ( 7.35 - 7.45 ) is critical for the overall health of the body. In other words... alkalize or die.​
Remember that the pH number is an exponent number of 10; therefore, a small difference in pH translates to a big difference in the number of oxygen or OH-ions. A difference of 1 in a pH value means ten times the difference in the number of OH-ions, a difference of 2 means one hundred times the difference in the number of OH-ions. In other words, blood with a pH value of 7.45 contains 64.9% more oxygen than blood with a pH value of 7.30.​
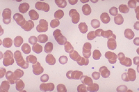
bloodcells1.jpg


Here's a picture of healthy red
blood cells:
bloodcells2.jpg

Blood cells have a negative charge on the outside and a positive charge inside; this is what keeps them healthy and far apart from each other. However, when your body is over-acidic, the acid strips your blood of it's negative charge. Your blood cells no longer have the same repelling force and clump together like this:​
Fact: If your body's pH is not balanced, you cannot effectively assimilate vitamins, minerals and food supplements. Also, mucus on the small intestine can block your body from vitamin and mineral absorption.
Oxidation Reduction Potential (ORP)
orpScale.jpg
When your tap water arrives at your home, it will usually be a little over neutral in pH ~ around 7.5.
It will, however, be robbed of its electrical negative charge and will almost always have a 'positive' ORP .
This means it has no antioxidant abilities and cannot assist your body in the fight against oxygen free radicals. On the contrary, it actually robs you of energy as you drink it.​
 
Last edited:
  • Like
Reactions: JM
Acidosis Symptoms | List of Symptoms and Diseases of acidic bodh pH

Liquid Chlorophyll

Chlorophyll is a green color pigment which is created by organisms that make photosynthesis through sunlight. It is a crucial biomolecule which allows plants to absorb energy from light. All green plants, photosynthetic active algaes and vegetables on earth get their green color from chlorophyll.
Chlorophyll is almost identical to the human blood pigment hemoglobin - the only difference is their central ion (core molecule): hemoglobin has an iron ion, chlorophyll has an magnesium ion.
Within the photosynthesis chlorophyll has as main task the absorption of light, and the subsequent transfer of electrons and absorbed energy. There are several types of chlorophyll, the most important ones are Chlorophyll a, b and c.
Benefits of Chlorophyll

Chlorophyll is the only substance on earth that transforms sunlight into edible energy. It is a concentrated form of sunlight and energy that cleans and renews our blood and raises the quantity of blood cells tremendously.
The more chlorophyll a food contains, the higher its nutritional value. Chlorophyll rich foods such as green and leafy vegetables contain huge amounts of minerals – which is why these foods are the most alkaline forming foods on earth.
Chlorophyll helps to build new blood cells, therefore keeping our blood's quality on top level. It supports the neutralization of cancer-causing substances and helps with arteriosclerosis. Above that, it enhances the healing of wounds, aids digestion, and improves our intestinal flora.
Liquid Chlorophyll

It is as easy as this: the healthier our blood is, the healthier we are! Chlorophyll rich green foods have an enormous influence on the quality of our blood (except of one ion chlorophyll is identical to hemoglobin) - which is why chlorophyll is also called "liquid green blood".
To get liquid chlorophyll, you can use a juice extractor and squeeze the "liquid blood" out of alkaline green grasses and vegetables.
Following foods contain high amounts of chlorophyll:
Alfalfa grass, Barley grass, Broccoli, Cucumber, Green peas, Green beans, Kamut grass, Kale / Green cabbage, Lemon grass, Okra / Ladyfingers, Parsley, Spinach, Watercress, Wheat grass, amongst others (see also: Acid-Alkaline-Food-Chart).
 
  • Like
Reactions: JM
Frenchman Jean Nicot (from whose name the word nicotine is derived) introduced tobacco to France in 1560, and tobacco then spread to England. The first report of a smoking Englishman is of a sailor in Bristol in 1556, seen "emitting smoke from his nostrils".[3] Like tea, coffee and opium, tobacco was just one of many intoxicants that was originally used as a form of medicine.[26]

For more about the production of the argicultural product, see Types of tobacco, Cultivation of tobacco, Curing of tobacco, and Tobacco products Tobacco is an agricultural product processed from the fresh leaves of plants in the genus Nicotiana. The genus contains a number of species, however, Nicotiana tabacum is the commonly grown. Nicotiana rustica follows as second containing higher concentrations of nicotine. These leaves are harvested and cured to allow for the slow oxidation and degradation of carotenoids in tobacco leaf. This produces certain compounds in the tobacco leaves which can be attributed to sweet hay, tea, rose oil, or fruity aromatic flavors. Before packaging, the tobacco is often combined with other additives in order to: enhance the addictive potency, shift the products pH, or improve the effects of smoke by making it more palatable. In the United States these additives are regulated to 599 substances.[9] The product is then processed, packaged, and shipped to consumer markets. Means of consumption has greatly expanded in scope as new methods of delivering the active substances with fewer by-products have encompassed or are beginning to encompass:

Cigars are tightly rolled bundles of dried and fermented tobacco which are ignited so that smoke may be drawn into the smoker's mouth. They are generally not inhaled because the high alkalinity of the smoke, which can quickly become irritating to the trachea and lungs.

Kreteks are cigarettes made with a complex blend of tobacco, cloves and a flavoring "sauce". It was first introduced in the 1880s in Kudus, Java, to deliver the medicinal eugenol of cloves to the lungs. The quality and variety of tobacco play an important role in kretek production, from which kreteks can contain more than 30 types of tobacco. Minced dried clove buds weighing about 1/3 of the tobacco blend are added to add flavoring. In 2004 the United States prohibited cigarettes from having a "characterizing flavor" of certain ingredients other than tobacco and menthol, thereby removing Kreteks from being classified as cigarettes.[45]


Physiology A graph that shows the efficiency of smoking as a way to absorb nicotine compared to other forms of intake.The active substances in tobacco, especially cigarettes, is administered by burning the leaves and inhaling the vaporized gas that results. This quickly and effectively delivers substances into the bloodstream by absorption through the alveoli in the lungs. The lungs contain some 300 million alveoli, which amounts to a surface area of over 70 m2 (about the size of a tennis court). This method is inefficient as not all of the smoke will be inhaled, and some amount of the active substances will be lost in the process of combustion, pyrolysis.[10] Pipe and Cigar smoke are not inhaled because of its high alkalinity, which are irritating to the trachea and lungs. However, because of its higher alkalinity (pH 8.5) compared to cigarette smoke (pH 5.3), unionized nicotine is more readily absorbed through the mucous membranes in the mouth.[46] Nicotine absorption from cigar and pipe, however, is much less than that from cigarette smoke.[47]


Patterns
A number of studies have established that cigarette sales and smoking follow distinct time-related patterns. For example, cigarette sales in the United States of America have been shown to follow a strongly seasonal pattern, with the high months being the months of summer, and the low months being the winter months.[70] Similarly, smoking has been shown to follow distinct circadian patterns during the waking day—with the high point usually occurring shortly after waking in the morning, and shortly before going to sleep at night.[71]

Cheap Tobacco
 
Last edited:
NaturalNews) Inside chlorophyll is the lamp of life and that lamp is magnesium. The capture of light energy from the sun is magnesium dependent. Magnesium is bound as the central atom of the porphyrin ring of the green plant pigment chlorophyll. Magnesium is the element that causes plants to be able to convert light into energy and chlorophyll is identical to hemoglobin except the magnesium atom at the center has been taken out and iron put in. The whole basis of life and the food chain is seen in the sunlight-chlorophyll-magnesium chain. Since animals and humans obtain their food supply by eating plants, magnesium can be said to be the source of life for it is at the heart of chlorophyll and the process of photosynthesis.

A huge step forward for early life was the development of chlorophyll, a molecule that captures light energy from the sun in a process called photosynthesis. Chlorophyll systems convert energy from visible light into small energy-rich molecules easy for cells to use. The harnessing of the energy of visible light led to a vast expansion of early life-forms. Fossilized layers, three and half billion years old, have been found with evidence of blue-green algae that lived on top of tidal rocks.

Magnesium is needed by plants to form chlorophyll which is the substance that makes plants green. Without magnesium sitting inside the heart of chlorophyll, plants would not be able to take nutrition from the sun because the process of photosynthesis would not go on. When magnesium is deficient things begin to die. In reality one cannot take a breath, move a muscle, or think a thought without enough magnesium in our cells. Because magnesium is contained in chlorophyll it is considered an essential plant mineral salt.

Without chlorophyll, plants are unable
to convert sunlight and carbon dioxide.
There is no life without magnesium.

Magnesium is a necessary element for all living organisms both animal and plant. Chlorophyll is structured around a magnesium atom, while in animals, magnesium is a key component of cells, bones, tissues and just about every physiological process you can think of. Magnesium is primarily an intracellular cation; roughly 1% of whole-body magnesium is found extracellularly, and the free intracellular fraction is the portion regulating enzyme pathways inside the cells. Life packs the magnesium jealously into the cells, every drop of it is precious.

Insulin and Magnesium

Magnesium is necessary for both the action
of insulin and the manufacture of insulin.

Magnesium is a basic building block to life and is present in ionic form throughout the full landscape of human physiology. Without insulin though, magnesium doesn't get transported from our blood into our cells where it is most needed. When Dr. Jerry Nadler of the Gonda Diabetes Center at the City of Hope Medical Center in Duarte, California, and his colleagues placed 16 healthy people on magnesium-deficient diets, their insulin became less effective at getting sugar from their blood into their cells, where it's burned or stored as fuel. In other words, they became less insulin sensitive or what is called insulin resistant. And that's the first step on the road to both diabetes and heart disease.

Insulin is a common denominator, a central figure in life as is magnesium. The task of insulin is to store excess nutritional resources.
This system is an evolutionary development used to save energy and other nutritional necessities in times (or hours) of abundance in order to survive in times of hunger. Little do we appreciate that insulin is not just responsible for regulating sugar entry into the cells but also magnesium, one of the most important substances for life. It is interesting to note here that the kidneys are working at the opposite end physiologically dumping from the blood excess nutrients that the body does not need or cannot process in the moment.

Controlling the level of blood sugars is only one of the many functions of insulin. Insulin plays a central role in storing magnesium but if our cells become resistant to insulin, or if we do not produce enough insulin, then we have a difficult time storing magnesium in the cells where it belongs. When insulin processing becomes problematic magnesium gets excreted through our urine instead and this is the basis of what is called magnesium wasting disease.

There is a strong relationship between magnesium and insulin action. Magnesium is important for the effectiveness of insulin. A reduction
of magnesium in the cells strengthens insulin resistance.

Low serum and intracellular magnesium concentrations are associated with insulin resistance, impaired glucose tolerance, and decreased insulin secretion. Magnesium improves insulin sensitivity thus lowering insulin resistance. Magnesium and insulin need each other. Without magnesium, our pancreas won't secrete enough insulin--or the insulin it secretes won't be efficient enough--to control our blood sugar.

Magnesium in our cells helps the muscles to relax but if we can't store magnesium because the cells are resistant then we lose magnesium which makes the blood vessels constrict, affects our energy levels, and causes an increase in blood pressure. We begin to understand the intimate connection between diabetes and heart disease when we look at the closed loop between declining magnesium levels and declining insulin efficiency.

Though it would be a long stretch of the longest giraffe's neck to compare insulin with chlorophyll we are walking a trail at the very nuclear core of life. It's the magnesium trail and we find to our surprise that it takes us into intimate contact with the very structure and foundation of life. The dedication of this chapter is to the beauty of magnesium, to its meaning in life, in health and in medicine.

We were talking about chlorophyll and now insulin and putting magnesium in-between. Walking further along is the DHEA magnesium story and the DNA magnesium story. And then there is the cholesterol magnesium story. Every part of life is in love with magnesium except allopathic medicine which just cannot accept it in all its light, flame and beauty. Thousands of years ago the Chinese named it the beautiful metal and they were seeing something pharmaceutical medicine does not want to see for there is little money to be made from something so common.

Magnesium and DNA

Magnesium ions play critical roles in many aspects of cellular metabolism. Magnesium stabilizes structures of proteins, nucleic acids, and cell membranes by binding to the macromolecule's surface and promote specific structural or catalytic activities of proteins, enzymes, or ribozymes. Magnesium has a critical role in cell division. It has been suggested that magnesium is necessary for the maintenance of an adequate supply of nucleotides for the synthesis of RNA and DNA.

Magnesium plays a critical role in vital DNA repair proteins.
Magnesium ions synergetic effects on the active site
geometry may affect the polymerase closing/opening trends.
Single-stranded RNA are stabilized by magnesium ions.

Distinct structural features of DNA, such as the curvature of dA tracts, are important in the recognition, packaging, and regulation of DNA are magnesium dependent. Physiologically relevant concentrations of magnesium have been found to enhance the curvature of dA tract DNAs. The chemistry of water activated by a magnesium ion is central to the function of the DNA repair proteins, apurinic/apyrimidic endonuclease 1 (Ape1) and polymerase A (Pol A). These proteins are key constituents of the base excision repair (BER) pathway, a process that plays a critical role in preventing the cytotoxic and mutagenic effects of most spontaneous, alkylation, and oxidative DNA damage.

Magnesium ions help guide polymerase selection for the
correct nucleotide extends descriptions of polymerase pathways.

Dr. Paul Ellis informs us that, "Magnesium ions are central to the function of the DNA repair proteins, apurinic/apyrimidic endonuclease 1 (Ape1) and polymerase A (Pol A). These proteins are key constituents of the base excision repair (BER) pathway, a process that plays a critical role in preventing the cytotoxic and mutagenic effects of most spontaneous, alkylation, and oxidative DNA damage." DNA polymerase is considered to be a holoenzyme since it requires a magnesium ion as a co-factor to function properly. DNA-Polymerase initiates DNA replication by binding to a piece of single-stranded DNA. This process corrects mistakes in newly-synthesized DNA.

DHEA – Magnesium - Cholesterol

Low levels of DHEA are associated with loss of "pathology
preventing" signaling between immune system cells.

Dr. James Michael Howard says, "Cancer and infections are both increasing and one of the basic reasons is reduced availability of DHEA, which stems from magnesium deficiency." Also known as "mother of all steroid hormones" DHEA is converted in the body into several different hormones, including estrogen and testosterone. DHEA appears to restore immune balance and stimulate monocyte production (the cells that attack tumors), B-cell activity (the cells that fight disease-causing organisms), T-cell mobilization (infection fighting T-cells have DHEA binding sites), and protection of the thymus gland (which produces T-cells). The data suggest that DHEA has a role in the neuro-endocrine regulation of the antibacterial immune resistance.

All steroid hormones are created from cholesterol in a hormonal cascade. Cholesterol, that most maligned compound, is actually crucial for health and is the mother of hormones from the adrenal cortex, including cortisone, hydrocortisone, aldosterone, and DHEA. Cholesterol cannot be synthesized without magnesium and cholesterol is a vital component of many hormones. These hormones are interrelated, each performing a unique biological function with them all depending on magnesium for their function. Aldosterone interestingly needs magnesium to be produced and it also regulates magnesium's balance.

Dr. Mildred S. Seelig wrote, "Mg2+-ATP is the controlling factor for the rate-limiting enzyme in the cholesterol biosynthesis sequence that is targeted by the statin pharmaceutical drugs, comparison of the effects of Mg2+ on lipoproteins with those of the statin drugs is warranted. Formation of cholesterol in blood, as well as of cholesterol required in hormone synthesis, and membrane maintenance, is achieved in a series of enzymatic reactions that convert HMG-CoA to cholesterol. The rate-limiting reaction of this pathway is the enzymatic conversion of HMG CoA to mevalonate via HMG CoA. The statins and Mg inhibit that enzyme. Mg has effects that parallel those of statins. For example, the enzyme that deactivates HMG-CoA Reductase requires Mg, making Mg a Reductase controller rather than inhibitor. Mg is also necessary for the activity of lecithin cholesterol acyl transferase (LCAT), which lowers LDL-C and triglyceride levels and raises HDL-C levels."

Desaturase is another Mg-dependent enzyme involved in
lipid metabolism which statins do not directly affect.

DHEA is a steroid hormone produced by the adrenal gland and ovaries and converted to testosterone and estrogen. After being secreted by the adrenal glands, it circulates in the bloodstream as DHEA-sulfate (DHEAS) and is converted as needed into other hormones. Magnesium chloride, when applied transdermally, is reported by Dr. Norman Shealy to increase DHEA. Dr. Shealy has determined that when the body is presented with adequate levels of magnesium at the cellular level, the body will begin to naturally produce DHEA and also DHEA-S.
Transdermal is the ultimate way to replenish cellular magnesium
levels. Every cell in the body bathes and feeds in it and even DHEA
levels are increased naturally, according to Dr. Norman Shealy
This effect is not seen in oral or intravenous magnesium administration and Dr. Shealy has a patent pending in this area. It is thought that transdermal application interacts in some way with the fatty tissues of the skin to create the affect. Studies link low levels of DHEA to chronic inflammation, immune dysfunction, depression, rheumatoid arthritis, Type-II diabetic complications, greater risk for certain cancers, heart disease and osteoporosis.

Magnesium and Glutathione

Without sufficient magnesium, the body accumulates toxins
and acid residues, degenerates rapidly, and ages prematurely.

According to Dr. Russell Blaylock, low magnesium is associated with dramatic increases in free radical generation as well as glutathione depletion and this is vital since glutathione is one of the few antioxidant molecules known to neutralize mercury. Glutathione requires magnesium for its synthesis. Glutathione synthetase requires γ-glutamyl cysteine, glycine, ATP, and magnesium ions to form glutathione.

In magnesium deficiency, the enzyme y-glutamyl transpeptidase is lowered. Data demonstrates a direct action of glutathione both in vivo and in vitro to enhance intracellular magnesium and a clinical linkage between cellular magnesium, GSH/GSSG ratios, and tissue glucose metabolism. Magnesium deficiency causes glutathione loss, which is not affordable because glutathione helps to defend the body against damage from cigarette smoking, exposure to radiation, cancer chemotherapy, and toxins such as alcohol and just about everything else.

Scientific Miracles in Medicine

The 21st century is seeing the plagues of diabetes, heart disease, cancer and neurological diseases explode with the entire western medical establishment confused about even the most basic health issues. The three trillion dollar medical machine in the United States is impotent against chronic diseases and is responsible itself for much of the horror that is happening.

Medical basics, we have to get back to them returning to the understanding of the simplest things like water. What do you give a person coming out of a week long walk in the desert without water? A coke? Do we have to do a thousand double blind studies to realize there is only one answer? Are we that dumb that medicine cannot see the forest from the trees?

When someone is in cardiac arrest or are having a stroke, having panic attacks with heart palpitations what is the first thing, the very first thing we would reach for like one would reach for a six shooter? Our biological engine is seizing up what do we do? For the next million years there is going to be only one answer and that answer is magnesium preferably in the chloride form. It will never change either for that person coming out of the desert; water will always be the answer to the need. We are talking so close to the source of life when talking about water or magnesium. But unfortunately there will always be those who think giving a coke to a very thirsty person is just fine and doctors who think they can forget about nature and try to substitute something to stand in magnesium's place.

The bedrock of medical truth sits upon the metal magnesium for it is at the exact center of biological life like air and water is. All of life collapses around its loss, but with only the smallest amount of caring and intelligence we can replete what has been lost inside of a person's cells. The realization that magnesium is at the center of life in chlorophyll should help us place magnesium in the temple it deserves. It is the ultimate love drug when used as a medicine. It's the first thing you give a person if you want to give something necessary and helpful.

It will take this entire book to present all the reasons that magnesium qualifies as a love drug; there are reasons that take us out of the physical body and into emotional, mental and spiritual bodies. Psychologists and psychiatrists also have to discover magnesium for it offers them a tool they have not found anywhere else. Magnesium is the Lamp of Life; it operates at the core of physiology offering us what can only be called scientific miracles in medicine. Though other substances like Vitamin C or even iodine are powerful competitors they cannot compare in sheer healing horsepower to magnesium.

.

Magnesium Medicine

It is no exaggeration for me to say that magnesium saved my life.
But is ironic that I am the one saying it, because during my
diverse medical career in general medicine, my greatest expertise
has always been prescription drugs, not natural supplements.
Dr. Jay S. Cohen

The Magnesium Solution for High Blood Pressure

Magnesium serves hundreds of important functions in the body and for that reason it has virtually no side effects. Researchers all over the world have confirmed its vital role yet, despite the intensive scientific brainpower that has been directed toward magnesium most doctors know hardly anything about it and never consider magnesium for treating patients. Magnesium comes to us with scientific evidence that dwarfs the evidence presented by pharmaceutical companies for any of their prescription drugs but its use is still contained. (See chapter on why doctors do not use more magnesium)

Magnesium chloride treatments address systemic nutritional deficiencies, act to improve the function of our cells and immune system, and help protect cells from oxidative damage. Its a systemic medicine as well as a local one bringing new life and energy to the cells wherever it is applied topically. When used with oral administration, transdermal magnesium therapy offers us the opportunity to get dosages up to the powerful therapeutic range without compromising intestinal comfort through oral use alone.

What we have found is that magnesium chloride, applied
transdermally, is the ideal magnesium delivery system -
with health benefits unequalled in the entire world of medicine.

Magnesium chloride solutions offer a medical miracle to humanity, one that many have sought but have not found. In fact Dr. Carolyn Dean, titled her book The Magnesium Miracle and she could not have been more correct. Nothing short of a miracle is to be expected with increases in the cellular levels of magnesium if those levels have been depleted.

There is no wonder drug that can claim, in the clear, what magnesium chloride can do. Most people will show dramatic improvements in the state of their health when they replete their magnesium levels and the very best way to do that is with magnesium chloride applied transdermally (baths and body spraying), orally, vaporized into the lungs, diluted for use with ones eyes, intravenously, and even in douches and enemas.

Constant magnesium massages are what kings and queens should be dreaming of.
With such "brine solutions" the concentrate can simply be applied to the skin or poured into bath water, and in an instant we have a medical treatment without equal in the world of medicine. Intensive transdermal and oral magnesium therapy can be safely applied every day for constantly strengthened health.

Hidden in each cubic mile of ocean water is enough healing
power to put the pharmaceutical companies out of business.

And there are medical reasons why we love the beach and ocean. Intensive magnesium baths, aerosolized iodine, vitamin D natural style and grounding to the earth through the sand. Medical science and the pharmaceutical companies will eventually have to deal with the fact that the most powerful and universal medicine on earth is a basic nutrient from the sea and can be purchased by anyone at low cost.

Magnesium is nothing short of a miracle to a person deficient in this mineral. So clear and observable are the effects that there is no mistake, no mysticism, no false claim made.
Emergency room personnel know of this and use either magnesium sulfate or chloride to save peoples lives during heart attacks or to diminish the damage from strokes. And new research suggests that MgSO4 infusions may have a role in cerebral vasospasm prophylaxis if therapy is initiated within 48 hours of aneurysm rupture.

Medicine today is more and more frequently described in terms of science. With the origin and development of drugs and surgical techniques, modern medicine has thought itself to be evermore exact and evermore resembling the hard sciences of chemistry and physics. In the case of magnesium, medicine has fallen from the grace of the pure sciences, which insists that they are ignoring the best medicine available anywhere. Magnesium is clearly evidence-based medicine but the quality of the evidence used pharmaceutical medicine is highly suspect. There is no such cloud of doubt hanging over the scientific evidence that makes it clear why magnesium would be both potent and safe.

When it comes to cardiac disease we create our primary protocol around magnesium, selenium and iodine. These three core minerals, when backed up with a strong naturopathic protocol, which includes natural mercury detoxification of the heart tissues, will transform cardiology into a field of medicine that does not have its patients dying like flies.


About the author

Mark A. Sircus Ac., OMD, is director of the International Medical Veritas Association (IMVA)Dr. Sircus | International Medical Veritas Association. Dr. Sircus was trained in acupuncture and oriental medicine at the Institute of Traditional Medicine in Sante Fe, N.M., and in the School of Traditional Medicine of New England in Boston. He served at the Central Public Hospital of Pochutla, in México, and was awarded the title of doctor of oriental medicine for his work. He was one of the first nationally certified acupuncturists in the United States. Dr. Sircus's IMVA is dedicated to unifying the various disciplines in medicine with the goal of creating a new dawn in healthcare.

He is particularly concerned about the effect vaccinations have on vulnerable infants and is identifying the common thread of many toxic agents that are dramatically threatening present and future generations of children. His book The Terror of Pediatric Medicine is a free e-book one can read. Dr. Sircus is a most prolific and courageous writer and one can read through hundreds of pages on his various web sites.

He has most recently released his Survival Medicine for the 21st Century compendium (2,200 page ebook) and just released the Winning the War Against Cancer book. Dr. Sircus is a pioneer in the area of natural detoxification and chelation of toxic chemicals and heavy metals. He is also a champion of the medicinal value of minerals and is fathering in a new medical approach that uses sea water and different concentrates taken from it for health and healing. Transdermal Magnesium Therapy, his first published work, offers a stunning breakthrough in medicine, an entirely new way to supplement magnesium that naturally increases DHEA levels, brings cellular magnesium levels up quickly, relieves pain, brings down blood pressure and pushes cell physiology in a positive direction. Magnesium chloride delivered transdermally brings a quick release from a broad range of conditions.
International Medical Veritas Association: Dr. Sircus | International Medical Veritas Association


Learn more: Magnesium: The Lamp of Life
 
Did BEER create civilization? Ancient man developed agriculture to brew alcohol, NOT to bake bread, claims scientist

  • Man is thought to have first settled to grow crops for food 10,000 years ago
  • But some scientists say it was brewing that drove agriculture
  • Beer provided early farmers with a number of benefits, experts say
By Sam Webb
PUBLISHED: 16:55 GMT, 20 December 2013 | UPDATED: 22:50 GMT, 20 December 2013
3,838 shares
101
View
comments

Some scientists claim beer - not bread - is the reason early man adopted a society based on farming around 10,000 years ago, a key moment in our evolution.
The cultivation of grain saw the transition away from a hunter-gatherer lifestyle and a widely-accepted theory is that the crops were used to bake bread, but experts claim it was the prospect of a brew that drove the desire to settle down and start a farm.
One of them is Patrick McGovern, the director of the Biomolecular Archaeology Project for Cuisine, Fermented Beverages, and Health at the University of Pennsylvania.

article-2527074-0000022200000CB2-401_634x392.jpg
Early drink: Ancient people may have raised crops to brew beer - not bread as previously thought



He says beer has a number of advantages beyond the intoxicating effects and taste, such as a high B vitamin content, the essential amino acid lysine and the fact it was safer to drink than water as the brewing process killed off bacteria and viruses.
More...


'With a four to five percent alcohol content, beer is a potent mind-altering and medicinal substance,' McGovern told science magazine Nautilus, adding that ancient brewers were medicine men for their communities.
He highlighted how traces of sage and thyme, which contain anti-cancer properties, were found in ancient Egyptian beer jars. Similarly wormwood, which also has cancer-fighting agents, has been found in ancient Chinese rice wine.
article-2527074-0E18E65100000578-292_634x406.jpg
Grain cultivated through farming was too sparse to have much use as food and was instead used for brewing, say some experts

Beer also acted as an important catalyst for people to act as a community and was used in ceremonies and celebrations - much as it is now.


HOW DID MAN DISCOVER BEER?

It is believed man first learned to make a basic gruel from barley.
Then, natural yeast, perhaps supplied by insects, would have fermented the gruel, and created a basic type of beer.
Beer was actually easier to make than bread.

After discovering this, humans would have started cultivating grain, settling to tend the crop.



The theory of the importance of beer was first sparked by Middle Eastern pre-history scholar Robert Braidwood at the University of Chicago in the 1950s.
Pointing to grain and sickles found in settlements of the Natufians, who lived from 13,000 to 19,000BC in what is now Syria, Jordan and Israel, he says barley was a reason humans settled and abandoned a nomadic way of life.
He says the Natufians used the grain for food, but an academic rival, Jonathan Sauer, said that the basic reaping technology available would have brought in a 'pitifully small return of grain for their labour'.
Therefore, they would have wanted something more rewarding and valuable than food - alcohol.
The theory has been backed by Solomon Katz, an anthropology professor at the University of Pennsylvania, who claims there is little evidence of the popularity of bread.

article-2527074-146CD05C000005DC-785_634x432.jpg
Beer would have provided nutritional benefits for early peoples, such as a high B vitamin content and the essential amino acid lysine. File picture


In a region of southwest Iran, analysis of plant remains found just 3.4 per cent of them were domesticated cereals. Katz argued they were farming and storing the grain to make beer.
He said: 'Thirst rather than hunger may have been the stimulus behind the origin of small grain agriculture.'


Read more: Did BEER create modern society? Ancient man developed agriculture to brew alcohol and not to bake bread, claims scientist | Mail Online
Follow us: @MailOnline on Twitter | DailyMail on Facebook
 
Could bears hold the cure to OBESITY? Grizzlies eat up to 58,000 calories a day yet don't get fat or develop heart disease

  • Before hibernation, grizzlies eat around 100lbs worth of nuts, salmon and berries which increases cholesterol and causes blood pressure to jump
  • Yet unlike humans they do not suffer heart attacks or clogged arteries - and crucially, they don't become diabetic
  • U.S. drug maker Amgen is now researching 12 grizzlies held in captivity at Washington State University to work out how they manage to stay healthy
By Daniel Bates

PUBLISHED: 16:32 GMT, 16 December 2013 | UPDATED: 16:35 GMT, 16 December 2013 276 shares
75
View
comments
http://www.dailymail.co.uk/sciencet...-dont-fat-develop-heart-disease.html#comments
article-0-1A256F4100000578-150_306x423.jpg
Before they hibernate, grizzlies (pictured) eat around 100lbs worth of nuts, salmon and berries

Scientists are studying grizzly bears in the hope they can help solve the worldwide obesity crisis - because they are surprisingly good slimmers.

A study has begun into the fearsome 1,000lbs creatures because they eat up to 58,000 calories a day but don't get fat.
Before they hibernate grizzlies eat around 100lbs worth of nuts, salmon and berries which increases their cholesterol and causes their blood pressure to jump.
Yet unlike humans, they do not suffer heart attacks or clogged arteries - and they don't become diabetics.
U.S. drug maker Amgen is now researching 12 grizzlies held in captivity at Washington State University to work out how they do it.
Dr Kevin Corbit has been looking at their fat deposits, monitoring their hearts, analysing their blood and conducting biopsies in the hope the bears will yield their weight loss secrets.
It is the only facility in the world housing adult grizzlies and offers a unique opportunity to study them.


According to the Wall Street Journal, Dr Corbit was inspired by Yogi Bear and his portly figure when trying to think of a way to research weight loss.
More...

He said that the test results so far suggest that bears modify their sensitivity to the hormone insulin, which controls how sugars and fats are broken down and used for energy.
As they put on weight before hibernation, bears seem to be more sensitive to insulin, he said.

But when hibernation begins they seem to shut off their responsiveness to the hormone completely.


article-0-1A256F4B00000578-892_634x386.jpg
Hope for humans? Experts say that from the test results so far, bears modify their sensitivity to the hormone insulin, which controls how sugars and fats are broken down and are used for energy


Dr Corbit plans to spend the next two years working out how exactly the mechanism works.
His work will be assisted by the sequencing of of the bears' genome which he hopes will be completed soon.

The Washington State University bear centre was set up 27 years ago and the animals there were born on site or rescued from places where they went too close to humans such as in a national park.
Dr Corbit, who until now has only worked with rats in a laboratory, had to take extra precautions when dealing with the grizzlies.

The facility where they are held has electric fences buried underground so the bears can't dig them up.

The bears themselves are kept in steel crates when they are being inspected and are put under before samples are taken.
Dr Corbit has also become adept at using honey to distract them whilst another resarcher scans their hearts.
Amgen research executive Dr Alexander Kamb said the grizzly bear research was unusual but given how big an issue obesity had become, it made sense to think differently.
He said: 'I want to learn how the grizzly bears work their magic'.



Read more: Could bears hold the cure to OBESITY? Grizzlies eat up to 58,000 calories a day yet don't get fat or develop heart disease | Mail Online
Follow us: @MailOnline on Twitter | DailyMail on Facebook




As they put on weight before
hibernation, bears seem to be more sensitive to insulin, he
said.



But when hibernation begins
they seem to shut off their responsiveness to the hormone
completely.

Diabetes type 2 in humans...:thumbs:..
 
Alternative approach devised for cancer patients referred for palliative treatment

Patients diagnosed with terminal cancer are being offered a new drug regimen that doctors hope will prolong and improve the quality of life

By: Adrian Lee
Published: Tue, December 10, 2013





3Comments


10f43clinic1-447782.jpg
The Care Oncology Clinic's new approach uses everyday drugs to treat cancer [REX]
EVERY year 150,000 cancer patients in the UK are told that they have reached the end of the conventional treatment line. For these patients and their families the discovery that radiotherapy and chemotherapy drugs are no longer viable is devastating.
However a clinic opening this month in London will offer another option.

The Care Oncology Clinic takes a new approach to treating all late stage cancers by using everyday drugs which were originally designed to combat other conditions.

Some studies have shown that statins (for lowering cholesterol) and anti-diabetes drugs can have an impact on cancer cells which require blood sugars and fat to grow.

It is thought that giving cancer patients a combination of these drugs could halt or slow the growth of cancer cells.

Although it is not claimed to be a cure, the aim is to allow patients who have been given a terminal diagnosis to both survive longer and have a better quality of life.
By reducing the levels using low-cost drugs which are already widely available, you can slow the growth of cancer cells without harming surrounding healthy cells
Founder of the clinic Greg Stoloff
The treatment could be suitable for seven out of 10 patients with all types of cancer including those who have allergic reactions to conventional cancer drugs.
Founder of the clinic Greg Stoloff says: "It will only be offered when no alternatives are available and patients have been referred for palliative care.

"At present this group has very few options and you hear disturbing stories about people flying abroad in search of treatments costing thousands of pounds."
The treatment, which is only available privately, is relatively inexpensive because it relies on proven, low-cost drugs which are already licensed.

Over the next few years the clinic, which can treat up to 2,000 patients, will also monitor the impact of this approach to cancer.

All patients will receive the same drugs and dose while the typical cost per person for consultant fees and a course of treatment will be about £800.
106678.jpg
Over the next few years the clinic will also monitor the impact of this approach to cancer [GETTY]
Related articles

"Cancer cells behave in a different way to normal cells in the body and are very sensitive to cholesterol and sugar levels and require large volumes of both," explains Mr Stoloff.

"By reducing the levels using low-cost drugs which are already widely available, you can slow the growth of cancer cells without harming surrounding healthy cells. It is a new approach but there is good evidence to support it."

Small studies suggest life expectancy may be extended by 18 months when compared with conventional palliative care.

The treatment evolved from research which indicates that diabetes patients who are treated with a common drug called metformin are less likely to develop cancer.

Other research suggests that patients taking statins to lower cholesterol are also less likely to suffer cancers.
"Millions of people are already taking these drugs," adds Mr Stoloff. "We will only use them in dosages that have already been approved. It is the combination of drugs that is important."
Professor Justin Stebbing, lead consultant at the Care Oncology Clinic and a cancer consultant at Imperial College, London, believes that this type of approach to treating the disease will become mainstream in future.

"It is not a radical treatment but there will be medical professionals who oppose it because you often encounter those who are stuck in their ways," he says. "The only way to convince people is to collect data. It is a new way of looking at cancer but it has the potential to do enormous good.

"As an oncologist my aim is to significantly improve quantity and quality of life and I believe we can do both with this treatment. It is a beautifully simple approach for people who have exhausted other avenues but are still determined to fight their cancer."
 
http://www.dailymail.co.uk/health/a...-taking-probiotic-pill-make-feel-anxious.html

http://www.mirror.co.uk/news/real-life-stories/kelly-moseley-mums-baby-joy-3030511#.UtzFHepwbIU

Synthetic cannabis’ pill could end arthritis pain for millions
A DAILY pill which mimics cannabis to end the agony of osteoarthritis has moved a step closer.


By: Jo Willey
Published: Tue, January 7, 2014





8Comments



arthritis-452417.jpg
Debilitating and painful osteoarthritis affects around eight million people in the UK [GETTY]
UK pain experts say their “significant” and “encouraging” findings could be a breakthrough.
They have discovered that a synthetically-produced chemical compound which works like the illegal drug to relieve pain could be developed as a potential treatment.
The artificial compound could also reduce joint inflammation, according to new research at the Arthritis Research UK Pain Centre at the University of Nottingham.
It could be five to 10 years before a pill is available for patients.
But creating a drug which tackles pain long term without side effects would revolutionise the treatment of osteoarthritis.
Professor David Walsh, director of the centre, said: “The results are quite encouraging. There is the potential that this would be a completely new class of painkiller that would have benefits additional and different to painkillers already on the market. For a lot of patients, the drugs we have at present are just not good enough.”
Osteoarthritis affects eight million people the UK and occurs when the cartilage at the ends of bones wears away, causing joint pain and stiffness. It is a major cause of disability.
Current treatment is limited to pain relief, exercise, physiotherapy weight-loss and joint replacement. There are currently no drugs that slow down its progression.
114903.jpg
The chemical compound JWH133 stimulates the cannabinoid receptors just like class B cannabis [GETTY]
What painkillers are available, such as opiates, can have dangerous side effects or can soon stop working.
But the Nottingham researchers, led by Professor Victoria Chapman, have shown that targeting a molecule involved in the body’s natural pain-sensing pathways in the spinal cord, called cannabinoid receptor2 (CB2), can also reduce osteoarthritis pain in animals.
Cannabis contains a number of natural chemicals called cannabinoids that can act as pain relievers. Their use is limited due to psychological side effects.
But the compound used in the study, called JWH133, is made in a laboratory and is not derived from the cannabis plant.
The research, published in the online journal Public Library of Science ONE, has shown that the CB2 receptor is present in human spinal cord tissue. Scientists see this as evidence JWH133 may combat osteoarthritis pain in humans.
Professor Alan Silman, medical director of Arthritis Research UK, said: “Millions of people are living with severe, debilitating pain and better relief is urgently needed.
“This research does not support the use of recreational cannabis use. What it does suggest is that there is potential to develop a synthetic drug that mimics the beh
 
Last edited:
Back
Top